トイ・プードルの大腿骨頭壊死 ‐レッグペルテス‐
こんにちは、フジタどうぶつ病院です。
今日は大腿骨頭壊死の治療について症例報告させていただきます。
レッグペルテスとも言われている大腿骨頭壊死ですが、
はっきりした原因は不明なのです。大腿骨頭(太ももの骨の骨盤と
連結している部分)への血行が阻害さ れ、大腿骨の骨頭が壊死して
しまう病気です。主な症状としては、跛行や股関節周囲の過敏症など
が見られ、治療が遅れると、歩行異常などの後遺症が残ってしまい ます。
症例は、1才のトイ・プードルの女の子です。右の後ろ脚を挙げて歩くことが
多くなったとのことで来院されました。触診で右後ろ脚を後ろに伸展すると
かなり痛がったので、股関節に痛みがあると判断しレントゲンを撮りました。
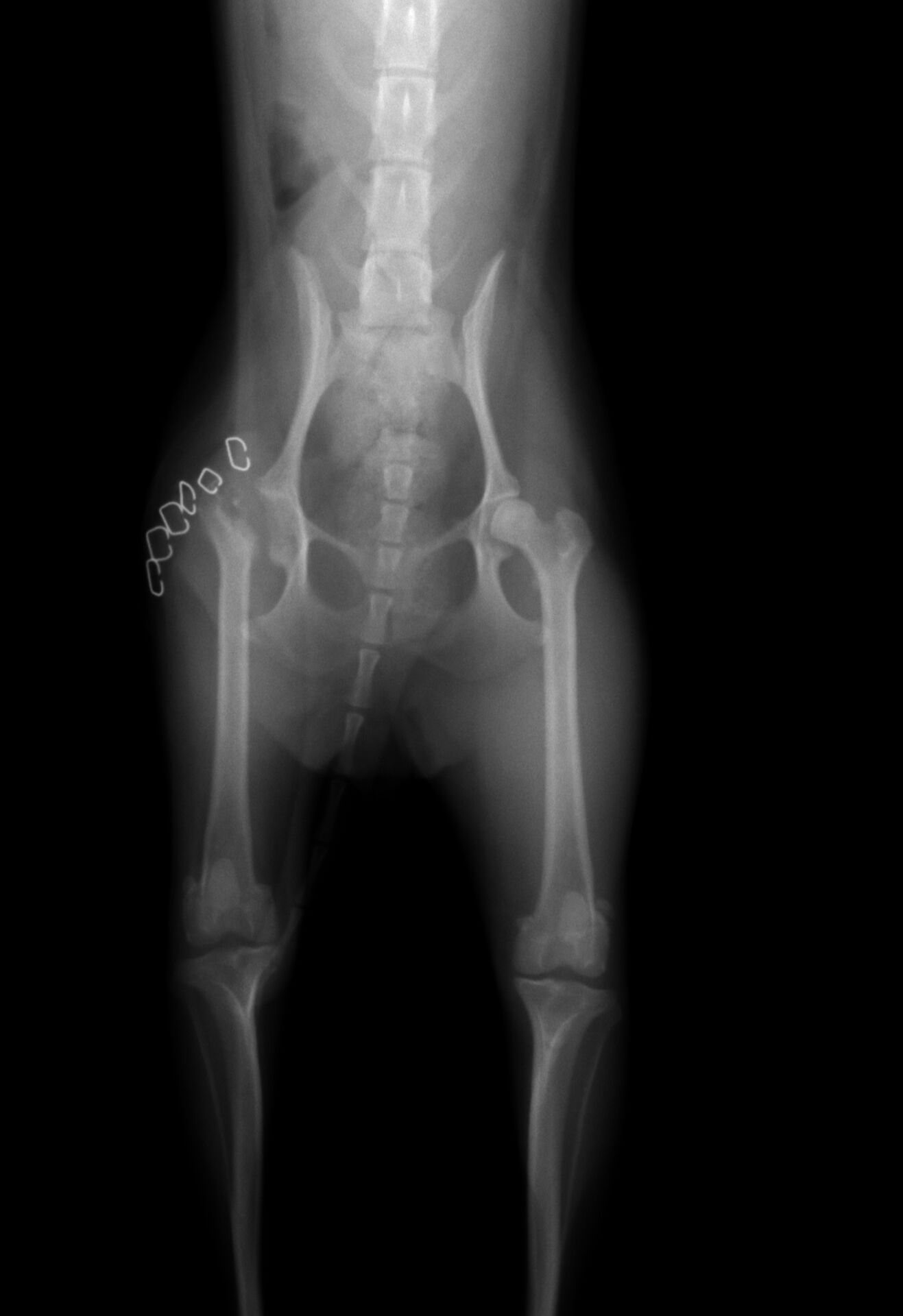
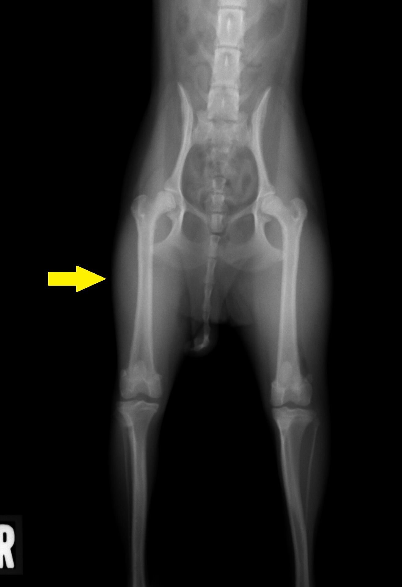
その結果が下の写真です。
わかりにくいのですが、左の写真 中央部に股関節(骨盤と大腿骨が接している
部分の関節)に隙間 (黄色矢印) があります。普通はもっと狭いのですが、症例はかなり広く
なっています。この画像からレッグペルテスと判断しました。この関節は放っておくと
どんどんひどくなり、患肢を使わなくなっていきます。現に右の写真で、右脚の大腿部の
筋肉が細くなっています(黄色矢印)ので、あまりこの脚をあまり使っていないため
筋肉が萎縮し始めています。治療が遅れると、治療後も脚を使わなくなってしまうことが
あります。
治療方法は手術で大腿骨頭を切除して股関節を失くしてしまいます。
「関節を失くしてしまったら歩けないのでは?」と思われる方は多いと思いますが、
ワンちゃんは人間と違って4足歩行ですから、ほとんど支障はありません。
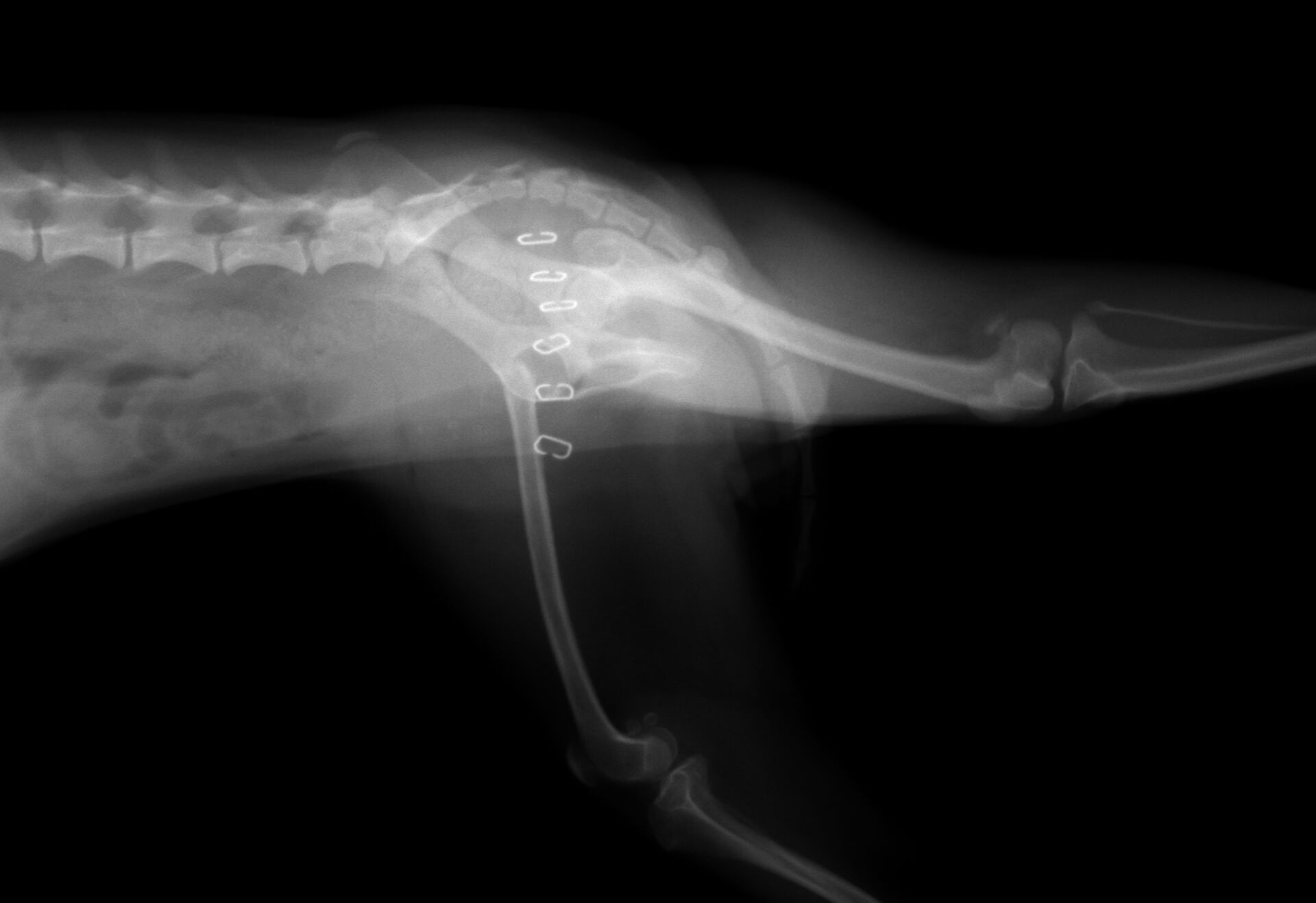
実際の手術後の写真が下の写真です。
右脚の大腿骨頭が無くなっているのがわかります。
また、下の写真が切除した大腿骨頭の写真です。普通はつるつるした関節面なのですが、
ごつごつした感じになっているのが分かるかと思います。この表面が傷みの原因に
なっています。
術後、このワンちゃんはしばらくは手術の痛みで脚をあげていましたが、
2週間後くらいにはほぼ普通に歩いていました。今では日常生活には何の支障もなく、
散歩したり、走ったりしているそうです。
このワンちゃんの場合は少し特殊で、普通は2-3か月かけて通常の歩行に
なります。神経質なワンちゃんは半年から1年くらいかかるワンちゃんもいます。
もし、ワンちゃんが脚をかばって歩くのが続いていることがありましたら、このような
病気があるかもしれません。出来るだけ早めに受診されることをお勧めいたします。
NEW
-
query_builder 2026/02/03
-
爪切りは完全予約制です
query_builder 2025/11/23 -
2025年 犬の健康診断キャンペーン
query_builder 2025/11/11 -
診察時間変更のお知らせ
query_builder 2025/07/31 -
かゆみ、脱毛、黒ずみ…長年悩んだ皮膚病がかなり改善!
query_builder 2025/07/18
CATEGORY
ARCHIVE
- 2026/021
- 2025/112
- 2025/072
- 2024/103
- 2024/061
- 2024/031
- 2024/021
- 2023/121
- 2023/091
- 2023/071
- 2023/051
- 2023/042
- 2022/121
- 2022/081
- 2022/071
- 2022/031
- 2022/022
- 2021/111
- 2021/081
- 2021/075
- 2019/121
- 2019/071
- 2018/061
- 2018/051
- 2018/011
- 2017/111
- 2017/101
- 2017/091
- 2017/021
- 2016/121
- 2016/071
- 2016/052
- 2016/031
- 2016/012
- 2015/121
- 2015/111
- 2015/102
- 2015/082
- 2015/072
- 2015/041
- 2014/101
- 2014/081
- 2014/055