ネコちゃんの誤嚥
フジタどうぶつ病院です。
今日はネコちゃんの誤飲について症例報告させて頂きます。症例は2歳の雄のネコちゃんです。
ある日突然食欲がなくなり、定期的に嘔吐するようになったとのことで来院しました。診察したところ、39度の微熱がある以外は脱水もなく、お腹を痛がったり、お腹に異物が触知されるということはありませんでした。また、飼い主さんに確認したところ、色々なものをかんだりすることがあるとのことでしたので、レントゲン撮影を行いました。その結果は特に異常は認められませんでした。
この結果とワクチン履歴もないことから、所謂ネコちゃんの風邪を疑って点滴、抗生物質の注射と絶食・絶水を指示して帰宅していただきました。
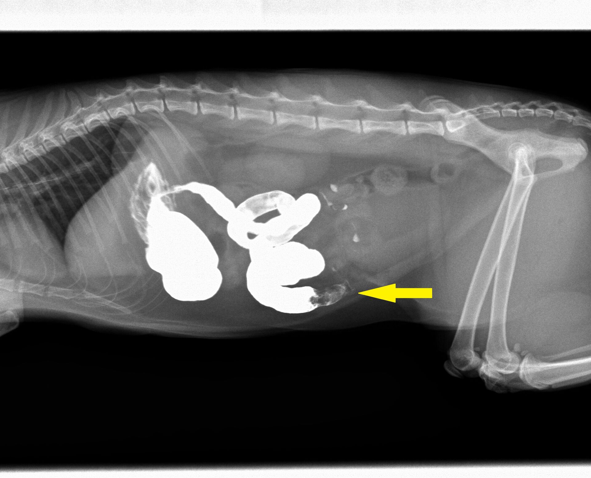
ところが、翌日また来院され、状態は全く変わらず、相変わらず食欲がなく、茶色のものを吐くようになったということでした。このことから腸閉塞を疑い、バリウム検査を行いました。バリウムを飲ませてから4時間目のレントゲンが下の写真ですが、小腸のある場所(黄色矢印)でバリウムが止まってしまい、それ以降は流れていません。胃内はバリウムで満たされています。通常は2-3時間で胃の中のバリウムはほとんどが流れ出てしまいます。
異物による腸閉塞が強く疑われたので、その日の夜に開腹手術行いました。その結果、小腸の一番細い部分である空回腸に異物が詰まっていました。その部分の腸を切開し、異物を取り出し、切開した部分を縫合して閉腹しました。異物はウレタンのようなもので、サンダルの一部ではないかということでした。
その後、ネコちゃんは2日間点滴しながら絶食絶水したところ、食欲も出て嘔吐もなくなったので、無事退院していきました。
若いネコちゃんは何にでも興味を持って口に入れてしまうことが多く、異物による腸閉塞はよくあります。ネコちゃんを飼われているご家庭ではネコちゃんが噛んだり、口に入れてしまいそうなものは片付けるように心掛けて下さい。
NEW
-
query_builder 2025/11/01
-
2025年秋 猫ちゃんの健康診断キャンペーンのお知らせ
query_builder 2025/09/26 -
診察時間変更のお知らせ
query_builder 2025/07/31 -
かゆみ、脱毛、黒ずみ…長年悩んだ皮膚病がかなり改善!
query_builder 2025/07/18 -
オンライン診療はじめました
query_builder 2024/10/29
CATEGORY
ARCHIVE
- 2025/111
- 2025/091
- 2025/072
- 2024/103
- 2024/061
- 2024/031
- 2024/021
- 2023/121
- 2023/091
- 2023/071
- 2023/051
- 2023/042
- 2022/121
- 2022/081
- 2022/071
- 2022/031
- 2022/022
- 2021/111
- 2021/081
- 2021/075
- 2019/121
- 2019/071
- 2018/061
- 2018/051
- 2018/011
- 2017/111
- 2017/101
- 2017/091
- 2017/021
- 2016/121
- 2016/071
- 2016/052
- 2016/031
- 2016/012
- 2015/121
- 2015/111
- 2015/102
- 2015/082
- 2015/072
- 2015/041
- 2014/101
- 2014/081
- 2014/055