犬の小腸内異物
フジタどうぶつ病院です。
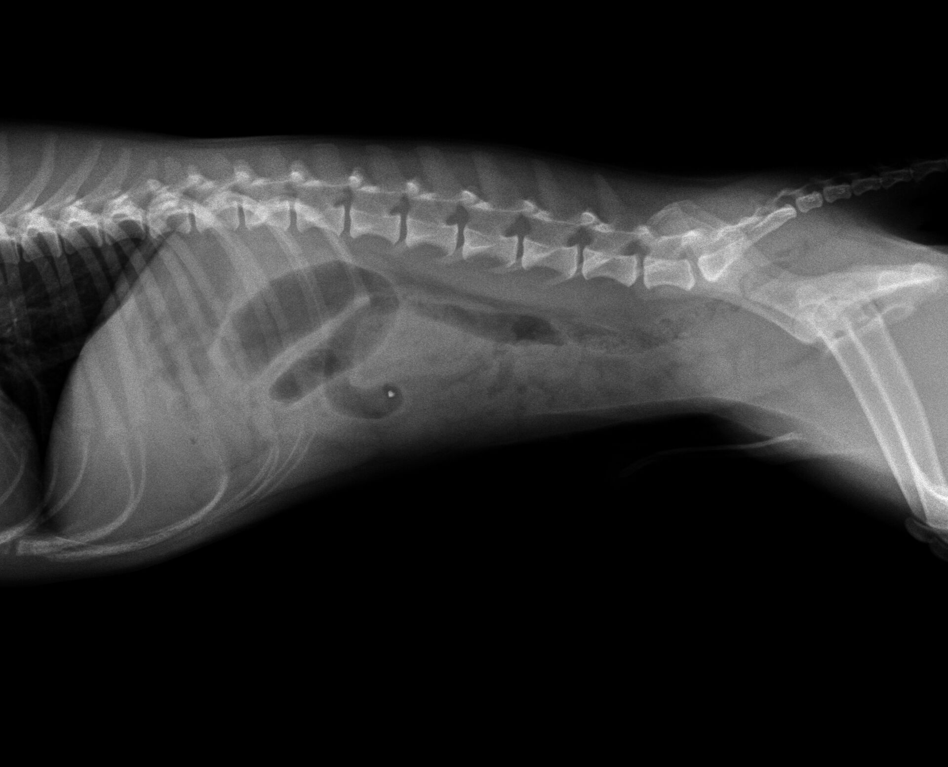
今年もあと1日となってしまいました。久々の投稿になってしまいましたが、今年最後の症例報告をさせていただきます。症例は1歳のジャックラッセルです。飼い主さんによると、日頃はすごく元気で食欲も旺盛なワンちゃんが突然何回も嘔吐し、食欲・元気がまったくなくなったとのことでした。元気で若いワンちゃんが突然、食欲廃絶、元気消失となると、一番疑われるのは異物の誤嚥です。そこで、すぐにレントゲンを撮りました。それが下の写真です。
胃から十二指腸にかけて普通より少しガスが多く認められました。益々異物による腸閉塞が疑われたので、バリウム検査を行うことにしました。その結果が以下です。
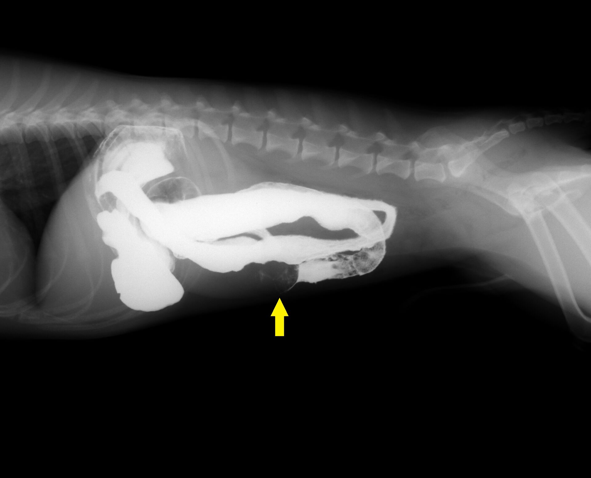
バリウム投与後15分です。
バリウム投与後30分です。
黄色矢印のところでバリウムが止まって円形の異物のようなものが認められました。その後もバリウム投与後2時間までレントゲンを撮影しましたが、矢印のところからは全く進みませんでした。異物によって腸閉塞していることは疑いがありませんでしたので、手術を行いました。下の写真のように小腸内に異物が認められ、腸を切開し、異物を取り除きました。飼い主さんにお見せしたところ、いつも遊んでいるおもちゃの突起物であることがわかりました。
ペットショップでは多くのおもちゃが売られていますが、その中にはこうして噛みちぎって飲みこんでしまって大変なことになってしまうものもあります。おもちゃで遊ばせる時は気を付けて下さい。
NEW
-
query_builder 2026/05/03
-
初診料・再診料 価格改定のお知らせ
query_builder 2026/03/27 -
春のフィラリア予防健康診断キャンペーン
query_builder 2026/03/31 -
爪切りは完全予約制です
query_builder 2025/11/23 -
診察時間変更のお知らせ
query_builder 2025/07/31
CATEGORY
ARCHIVE
- 2026/051
- 2026/032
- 2025/111
- 2025/072
- 2024/103
- 2024/061
- 2024/031
- 2024/021
- 2023/121
- 2023/091
- 2023/071
- 2023/051
- 2023/042
- 2022/121
- 2022/081
- 2022/071
- 2022/031
- 2022/022
- 2021/111
- 2021/081
- 2021/075
- 2019/121
- 2019/071
- 2018/061
- 2018/051
- 2018/011
- 2017/111
- 2017/101
- 2017/091
- 2017/021
- 2016/121
- 2016/071
- 2016/052
- 2016/031
- 2016/012
- 2015/121
- 2015/111
- 2015/102
- 2015/082
- 2015/072
- 2015/041
- 2014/101
- 2014/081
- 2014/055