猫の骨盤骨折
こんにちは、フジタどうぶつ病院です。
今日は猫ちゃんの骨盤骨折の症例を報告させていただきます。
お家で飼われている猫ちゃんなのですが、毎日のように外に出る子らしいです。
ある日、帰ってこないなあと飼い主さんが外に探しに出ると、近くの路地に
うずくまっていたところを保護したらしいです。この猫ちゃんは以前にも交通事故になって
上あごが真ん中で割れてしまって、手術したことがありました。
今回は腰を触ると痛がって、ほとんど歩けないとのことでした。
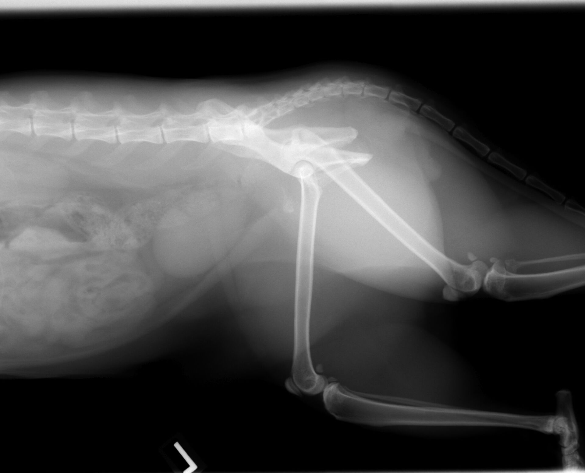
レントゲンを撮ったところ、下の写真のように骨盤を骨折していました。
今回の骨盤骨折は、仙腸関節が(黄色矢印)外れてしまっているのと
恥骨が骨折(赤色矢印)しています。仙腸関節は腸骨と仙骨(背骨)の
関節で言わば背骨と後肢を固定している所で、歩行する上で大変重要な
役目を担っています。整復しなくても歩行は何とかなる場合もあるのですが、
骨盤腔が狭くなることで便の通りが悪くなり、ひどい便秘になることは
ほぼ間違いありません。
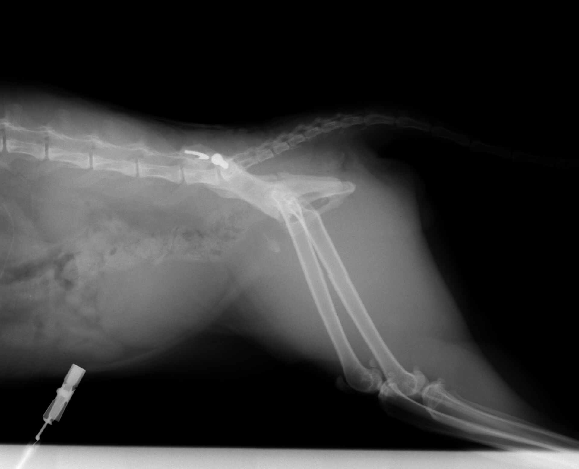
治療はこの仙腸関節を整復して固定することです。恥骨の骨折は固定の
必要はなく、仙腸関節を固定しておけば自然と治癒していきます。
下の写真が手術後です。
仙腸関節はスクリューで固定し(黄色矢印)、それだけでは回転してしまうので、腸骨同士をピンで固定しています。
その後、2ヶ月後にスクリューとピンを除去する手術をして、
今は以前と変わりなく、外にも遊びに行っているそうです。
飼い主さんには、猫ちゃんは家で飼う方が安全ですよ、とお伝えして
いるのですが、どうしても行き来たがるからということで外に
行かせているらしいです。 事故に合わないことを祈るばかりです。
猫ちゃんは小さい頃から家だけで飼うことをお勧めします。
しばらくすれば外に出ること自体が怖くなって、まったく外には行かなくなります。猫ちゃんは家の中だけでいることの方がストレスなく、病気にもなりにくく、長生きすることは間違いないです。
NEW
-
query_builder 2026/05/03
-
初診料・再診料 価格改定のお知らせ
query_builder 2026/03/27 -
春のフィラリア予防健康診断キャンペーン
query_builder 2026/03/31 -
爪切りは完全予約制です
query_builder 2025/11/23 -
診察時間変更のお知らせ
query_builder 2025/07/31
CATEGORY
ARCHIVE
- 2026/051
- 2026/032
- 2025/111
- 2025/072
- 2024/103
- 2024/061
- 2024/031
- 2024/021
- 2023/121
- 2023/091
- 2023/071
- 2023/051
- 2023/042
- 2022/121
- 2022/081
- 2022/071
- 2022/031
- 2022/022
- 2021/111
- 2021/081
- 2021/075
- 2019/121
- 2019/071
- 2018/061
- 2018/051
- 2018/011
- 2017/111
- 2017/101
- 2017/091
- 2017/021
- 2016/121
- 2016/071
- 2016/052
- 2016/031
- 2016/012
- 2015/121
- 2015/111
- 2015/102
- 2015/082
- 2015/072
- 2015/041
- 2014/101
- 2014/081
- 2014/055