猫の悪性リンパ腫
今回は、結果的に悪性リンパ腫と診断されたネコちゃんについて報告します。
もうすぐ13歳になる男の子(去勢済み)ですが、最近、新しい子猫がおうちに迎えられて、その子がやんちゃで、かなりストレスが
たまってたらしいです。段々と食欲がなくなって、元気もなくなってきたとのことで来院されました。
診察したところ、発熱はなかったのですが、かなり痩せていて、脱水も起こしていました。触診で、腹部に腫瘤(ゴルフボールより少し大きいくらいの塊)がわかったので、かなりの重病が予想されましたので、エコー検査、血液検査、レントゲン検査を行いました。
結果、血液検査では白血球が少し高いくらいでした。
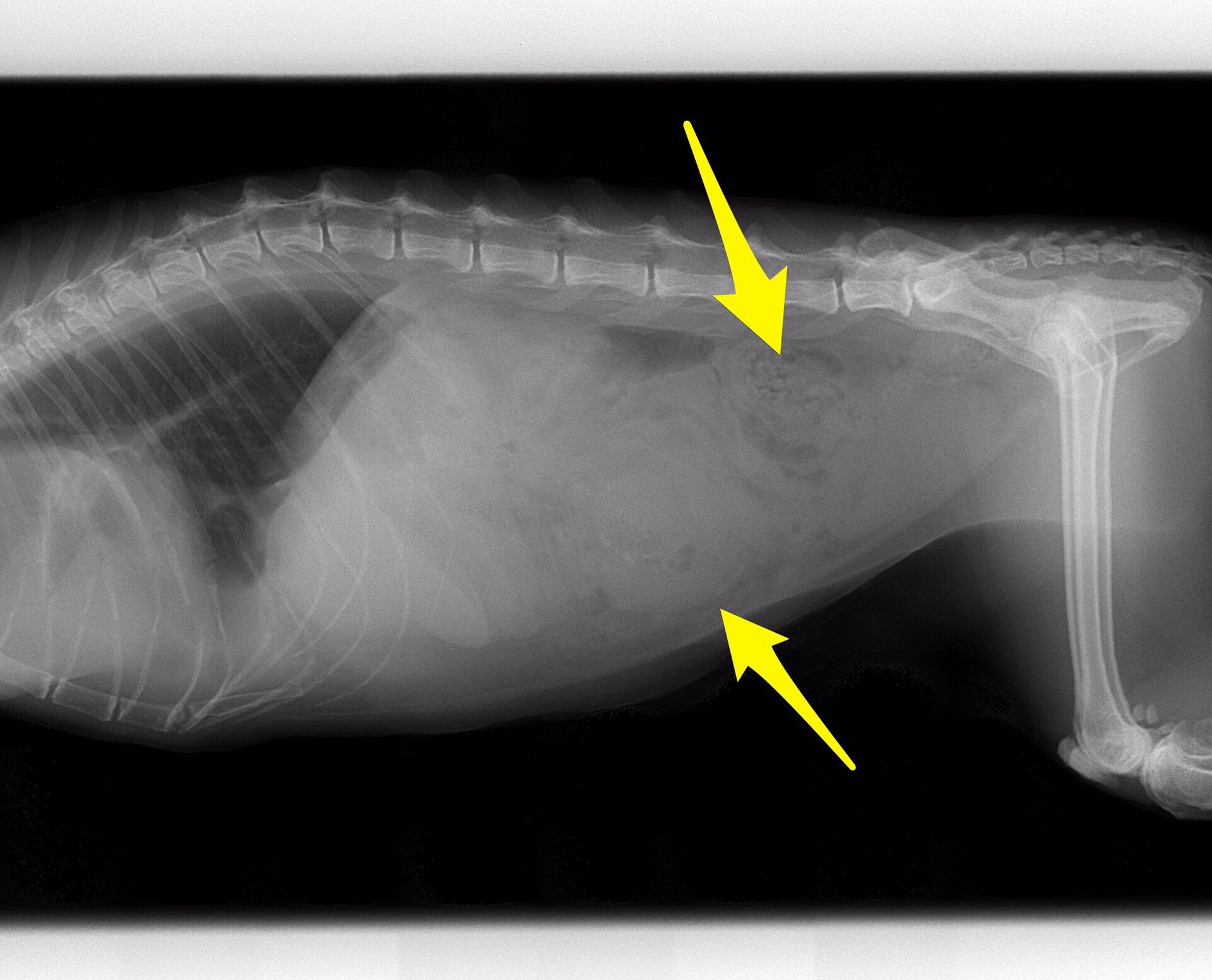
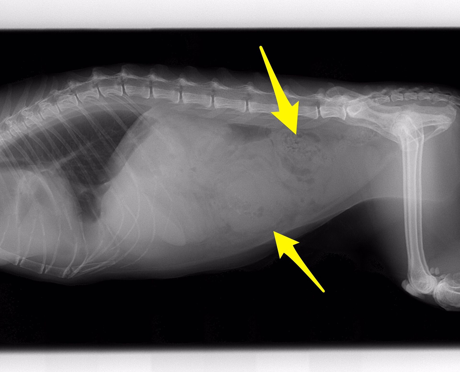
問題は腹部の腫瘤で、エコーとレントゲン写真を下に示します。
腹腔内に複数の腫瘤が認められましたので腸管膜のリンパ節が大きくなっていることが予想されました。飼い主さんと相談しまして、まずは開腹手術をして、切除できるものなら切除するということになりました。
開腹したところ、下の写真のように腸管壁の一部が大きくなり、それに伴って腸管に穴が開いた状態になっていました。開いた穴は腹腔内の脂肪組織と癒着し、うまい具合に
塞がっていて、難を逃れているようでした。
もし、癒着が起こっていなかったら腸壁に穴が開いて数日のうちに亡くなっていたでしょう。
これは切除しないと大変なことになりますので、腫瘤の両端の正常な腸管も一緒に切り取り、正常な腸管の端と端と繋ぐ手術をする必要があります。結構な手術になってしまいました。
その手術の写真が下の写真です。
うまく縫い合わせることができました。
他にも多数のリンパ節の腫れは認められましたが、かなりの数で切除することは断念しました。
術後、切除した腸管は病理検査を行い、その結果悪性リンパ腫であることがわかりました。悪性リンパ腫の場合、余命は長くて3カ月といわれています。
術後の治療としては、抗がん剤、インターフェロン、ステロイドなどがありますが、飼い主さんと相談した結果、一番副作用が少ない
インターフェロンで治療することになりました。
この猫ちゃんは術後2か月が経ちましたが、食欲も出てきて体重も少し増えて元気にしています。どれくらい生きてくれるかはわかりませんが、インターフェロンを週2回続けているところです。
NEW
-
query_builder 2026/03/27
-
春のフィラリア予防健康診断キャンペーン
query_builder 2026/03/31 -
爪切りは完全予約制です
query_builder 2025/11/23 -
診察時間変更のお知らせ
query_builder 2025/07/31 -
かゆみ、脱毛、黒ずみ…長年悩んだ皮膚病がかなり改善!
query_builder 2025/07/18
CATEGORY
ARCHIVE
- 2026/032
- 2025/111
- 2025/072
- 2024/103
- 2024/061
- 2024/031
- 2024/021
- 2023/121
- 2023/091
- 2023/071
- 2023/051
- 2023/042
- 2022/121
- 2022/081
- 2022/071
- 2022/031
- 2022/022
- 2021/111
- 2021/081
- 2021/075
- 2019/121
- 2019/071
- 2018/061
- 2018/051
- 2018/011
- 2017/111
- 2017/101
- 2017/091
- 2017/021
- 2016/121
- 2016/071
- 2016/052
- 2016/031
- 2016/012
- 2015/121
- 2015/111
- 2015/102
- 2015/082
- 2015/072
- 2015/041
- 2014/101
- 2014/081
- 2014/055