猫の横隔膜ヘルニア

query_builder 2016/05/06
症例報告
0ea22751075c33283e32d747303d3f3e-300x206

こんばんは。

フジタどうぶつ病院です。
今回は猫ちゃんの横隔膜ヘルニアについて症例報告させて頂きます。
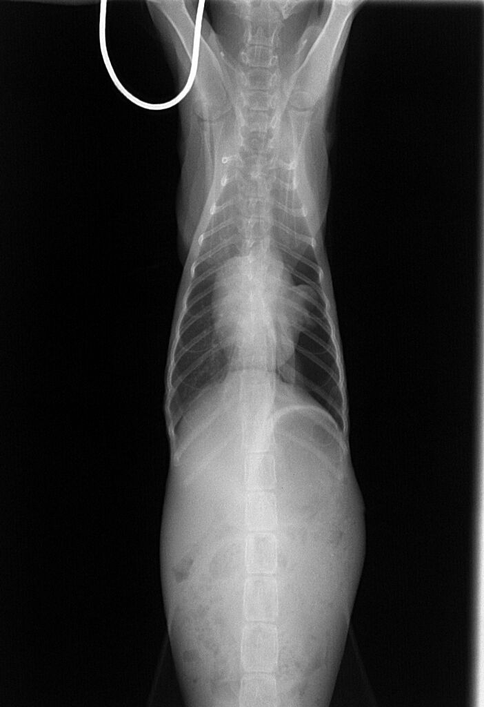
この猫ちゃんは道端で弱っているところを保護された子です。呼吸状態が悪く、脱水状態でもあったのでかなり危険な状態でした。呼吸に異常があると思われたので、レントゲン撮影を行いました。その結果、本来は肺が存在するところに腹腔内臓器である肝臓、胃、腸が入ってしまっています。胸とお腹を分けている横隔膜に穴が開いて、腹腔内の臓器が胸の中に入っている状態です。こうなると肺が満足に膨らまないので、呼吸不全に陥っています。恐らく、交通事故でお腹に車が当たって腹腔内の圧が上がってしまった結果だと思われます。
  レントゲン術前L
飼い主さん自身、「横隔膜ヘルニアかも」って言ってられましたが、見事正解でした。以前にも横隔膜ヘルニアの子を保護されたことがあったので、直感的にそう思われたようです。その時は、助からなかったそうです。
 かなりの脱水と呼吸不全で状態が悪かったので、まずは点滴と酸素吸入を行いました。保護主さんと相談し、手術を行うことになりました。約24時間点滴と酸素吸入を行った結果、かなり状態が良くなりましたので、手術を行いました。
左右の横隔膜が破れていましたが、右側は肝臓がふたになって肺はほぼ損傷はありませんでした。左側はほとんどの臓器が入って肺は押しつぶされまったく機能していませんでした。
下の写真が術後のレントゲン写真です。左の肺は押しつぶされているのがわかります。術後の麻酔の醒めが極端に悪く、回復するか心配されました。翌日もよく寝ていましたが、徐々に回復の兆しは見えてきてました。
食欲はありませんでしたが、ICU内にて点滴と酸素供給を続け1日、2日と経つうちに徐々に起きている時間が長くなり、3日後には、ICUから出ても呼吸は安定し、食欲が出てきました。7日後にはほぼ正常になり、フードもよく食べて体重もどんどん増えてきました。そこで、レントゲンを撮り、その結果が下の写真です。
 押しつぶされて小さくなっていた左の肺はきれいに全体に広がっているのがわかります。これでもう安心できる状態でした。その後、1週間くらい入院して、退院後、先住の他の猫ちゃんとも仲良く、家族のみなさんに大切に育てられています。

NEW

  • 初診料・再診料 価格改定のお知らせ

    query_builder 2026/03/27
  • 春のフィラリア予防健康診断キャンペーン

    query_builder 2026/03/31
  • 爪切りは完全予約制です

    query_builder 2025/11/23
  • 診察時間変更のお知らせ

    query_builder 2025/07/31
  • かゆみ、脱毛、黒ずみ…長年悩んだ皮膚病がかなり改善!

    query_builder 2025/07/18

CATEGORY

ARCHIVE