猫の紐状異物の誤嚥
今年もあと1日となりました。当院も申し訳ございませんが、12月30日から1月3日までの間、休診とさせていただきます。ご了承のほどお願いいたします。
さて、今年最後と思われます投稿をさせていただきます。
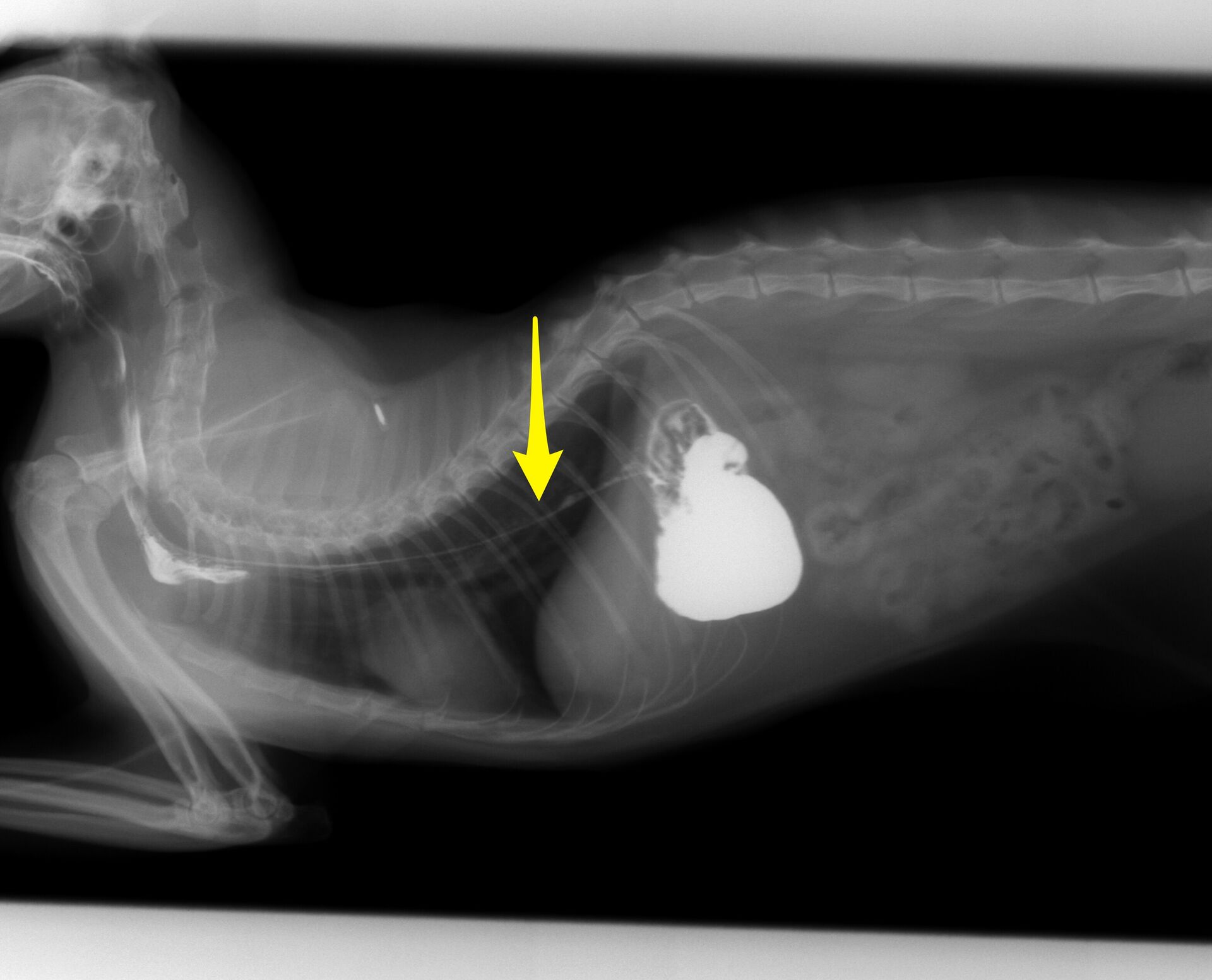
猫の紐状異物の誤嚥についてです。突然、ある日を境に食欲がなくなり、水を飲むたびに嘔吐してしまう、ということで来院されました。お腹を触った時に少し痛がるような仕草をしたので、誤嚥を疑いましたが、飼い主さんは「考えにくい。」ということでした。ですが、口腔内を観察してみますと、奥歯に紐のようなものが絡んでいるのが認められました。紐状異物の誤嚥の可能性が考えられましたので、バリウム検査をしました。その結果が下の写真です。
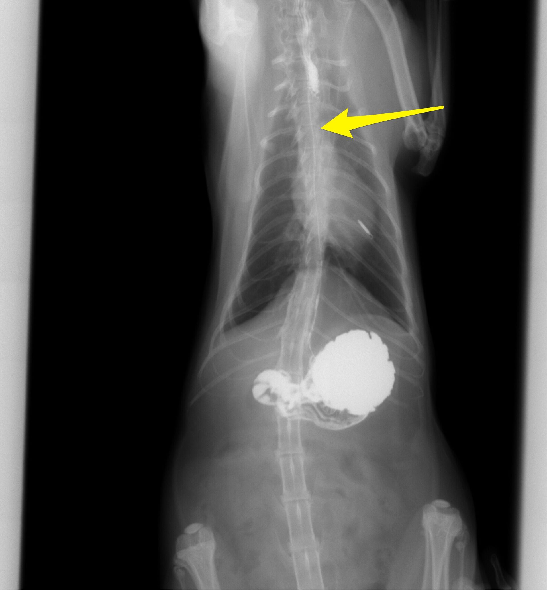
バリウムを飲ませた直後の写真ですが、矢印で示していますように食道にバリウムが残っています。これは紐状異物が食道にあることを示しています。その後4時間まで撮影しました。その結果が下の写真です。小腸まで達したバリウムは小腸の変形を示しています。これは紐状異物が小腸まで達していることを示しています。
こうなってしまうと、開腹して腸を切開し紐を切断しながら取り除くしかありません。実際、診察のその日の夜に緊急手術することになりました。その様子が下の写真です。
手術前に奥歯に絡まっていた紐を外しました。この紐は食道に続いていました。
小腸内に紐状異物があるため腸が寄りアコーディオン状になっています。1箇所だけを切開して引っ張り出すといいように思いますが、抵抗が強すぎて無理に引っ張ると腸が裂けてしまいます。今回の場合は胃を1箇所、腸を4箇所切開し、紐を取り除きました。
かなり大変な手術になってしまいました。一番下の写真が取り出した紐です。手術後は徐々に食欲が回復し、3日後には退院できました。
飼い主さんによりますと、この猫ちゃんは普段よく紐付きのおもちゃで遊んでいたそうです。一人で遊んでいるうちに紐だけを食べてしまったようです。紐付きのおもちゃは猫ちゃん用によく売られていますが、必ず飼い主さんと一緒にいる時に遊ばせましょう。一人で遊んでいる時には何があるかわかりませんので。
NEW
-
query_builder 2025/11/01
-
2025年秋 猫ちゃんの健康診断キャンペーンのお知らせ
query_builder 2025/09/26 -
診察時間変更のお知らせ
query_builder 2025/07/31 -
かゆみ、脱毛、黒ずみ…長年悩んだ皮膚病がかなり改善!
query_builder 2025/07/18 -
オンライン診療はじめました
query_builder 2024/10/29
CATEGORY
ARCHIVE
- 2025/111
- 2025/091
- 2025/072
- 2024/103
- 2024/061
- 2024/031
- 2024/021
- 2023/121
- 2023/091
- 2023/071
- 2023/051
- 2023/042
- 2022/121
- 2022/081
- 2022/071
- 2022/031
- 2022/022
- 2021/111
- 2021/081
- 2021/075
- 2019/121
- 2019/071
- 2018/061
- 2018/051
- 2018/011
- 2017/111
- 2017/101
- 2017/091
- 2017/021
- 2016/121
- 2016/071
- 2016/052
- 2016/031
- 2016/012
- 2015/121
- 2015/111
- 2015/102
- 2015/082
- 2015/072
- 2015/041
- 2014/101
- 2014/081
- 2014/055