爪切りは完全予約制です
query_builder
2025/11/23
こんにちは、フジタどうぶつ病院です。
今日は猫の誤食による腸閉塞の手術について報告します。
猫ちゃんはメスの3歳でした。1週間前から食欲がなく、嘔吐するとのことで来院されました。当初、誤食を疑いましたが、飼い主さんは「それは絶対にありま せん。」と言っていましたので、鑑別診断から誤食を除いて診察をしていました。血液検査をしましたが検査結果に問題はありませんでしたので、単なる胃腸炎 と判断し点滴と内服薬を処方して終了しました。
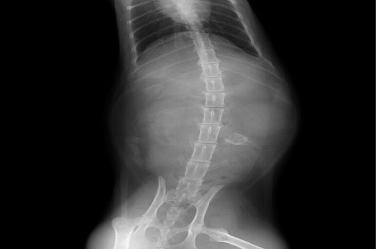
しかし2 、3日後も食欲はなく嘔吐が続いていましたので、レントゲン撮影をしたところ下記のような画像が得られました。
明らかに小腸付近に異物が検出されていましたので、当日に摘出手術を行いました。予想通り小腸にマジックのキャップのようなものが詰まっていましたので、腸を切開し摘出しました。その後は猫ちゃんは二日間入院、点滴し、食欲も戻り元気に退院していきました。
飼い主さんは、「そういったものは家にはない。」とおっしゃっていましたが、猫ちゃんは家からは1歩も出ないのでおそらく家のどこかにあったものを探し出して遊んでいるうちに飲み込んでしまったものと思われます。
飼い主さんの話は参考にしないといけないですが、あまりにも信用しすぎるとかえって治療を遅らせることになると痛感した症例でした。
|
|
06-6699-1155 9:30 〜 19:30
|
|
local_phone TEL |
contact_mail お問い合わせ |
スマホ決済がご利用頂けます。
ご希望の決済方法をお選びください。
キャッシュレス決済がご利用頂けます。
お支払い方法は各サービスのご利用方法に準じます。
※ご新規で電子決済サービスをご希望の方はアプリケーションストアよりダウンロードしてください。
| 診療時間 | 月 | 火 | 水 | 木 | 金 | 土 | 日/祝 |
|---|---|---|---|---|---|---|---|
| ◎午前診療9:30~12:30 | ● |
● |
休 |
● |
● |
● |
10:00~13:00 |
| ◎手術・往診12:30~16:30 | ● |
● |
休 |
● |
● |
● |
|
| ◎午後診療16:30~19:30 | ● |
● |
休 |
● |
● |
● |
16:00~19:00 |