股関節脱臼の治療
フジタどうぶつ病院です。今日はワンちゃんの股関節脱臼の治療について症例報告したいと思います。股関節は大腿骨頭と股関節窩から成ります。股関節窩に大腿骨頭が深く収まっていて、さらに靭帯で繋がっているため、簡単には脱臼しません。交通事故や落下などで大きな力が掛かると外れますし、もともと股関節窩が浅いと自然と外れる場合もあります。
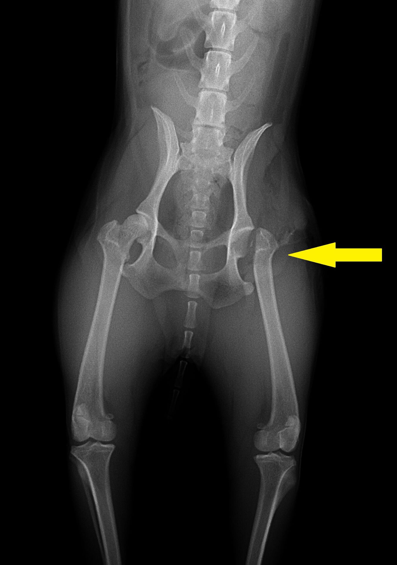
今回のワンちゃんは階段から落ちた時に外れたようです。外れた直後のレントゲン写真が下です。
かなり痛がっていたので、体勢が整って撮影できていません。
治療に関してですが、整復(元に戻す)してもすぐに外れることが多く、放っておくと大腿骨頭と股関節窩が擦れて、やがては股関節炎から股関節症となって痛みが強くなってしまいます。一番の治療は手術になりますが、方法は二通りで人工関節か大腿骨頭切除です。どちらを選択しても普通の生活を送る上では違いはありません。ただし、人工関節は大変費用を要します。飼い主さんと相談した結果、大骨頭切除術を行うことになりました。
その日のうちに手術を行いました。その結果が下のレントゲン写真です。
そして下の写真が取り除いた大腿骨頭です。
股関節がなくなって歩けるか心配される方もいるかと思いますが、その点は大丈夫です。ワンちゃんは四足歩行なので普通に歩いたり、走ったり、跳んだりもできます。現に今回のワンちゃんも3か月後には全く支障なく元気に過ごしています。
ワンちゃんは思わぬところで怪我をしてしまうことがありますので、十分に注意して頂ければと思います。
NEW
-
query_builder 2025/12/12
-
爪切りは完全予約制です
query_builder 2025/11/23 -
2025年 犬の健康診断キャンペーン
query_builder 2025/11/11 -
診察時間変更のお知らせ
query_builder 2025/07/31 -
かゆみ、脱毛、黒ずみ…長年悩んだ皮膚病がかなり改善!
query_builder 2025/07/18
CATEGORY
ARCHIVE
- 2025/121
- 2025/112
- 2025/072
- 2024/103
- 2024/061
- 2024/031
- 2024/021
- 2023/121
- 2023/091
- 2023/071
- 2023/051
- 2023/042
- 2022/121
- 2022/081
- 2022/071
- 2022/031
- 2022/022
- 2021/111
- 2021/081
- 2021/075
- 2019/121
- 2019/071
- 2018/061
- 2018/051
- 2018/011
- 2017/111
- 2017/101
- 2017/091
- 2017/021
- 2016/121
- 2016/071
- 2016/052
- 2016/031
- 2016/012
- 2015/121
- 2015/111
- 2015/102
- 2015/082
- 2015/072
- 2015/041
- 2014/101
- 2014/081
- 2014/055