膀胱結石
こんにちは、フジタどうぶつ病院です。
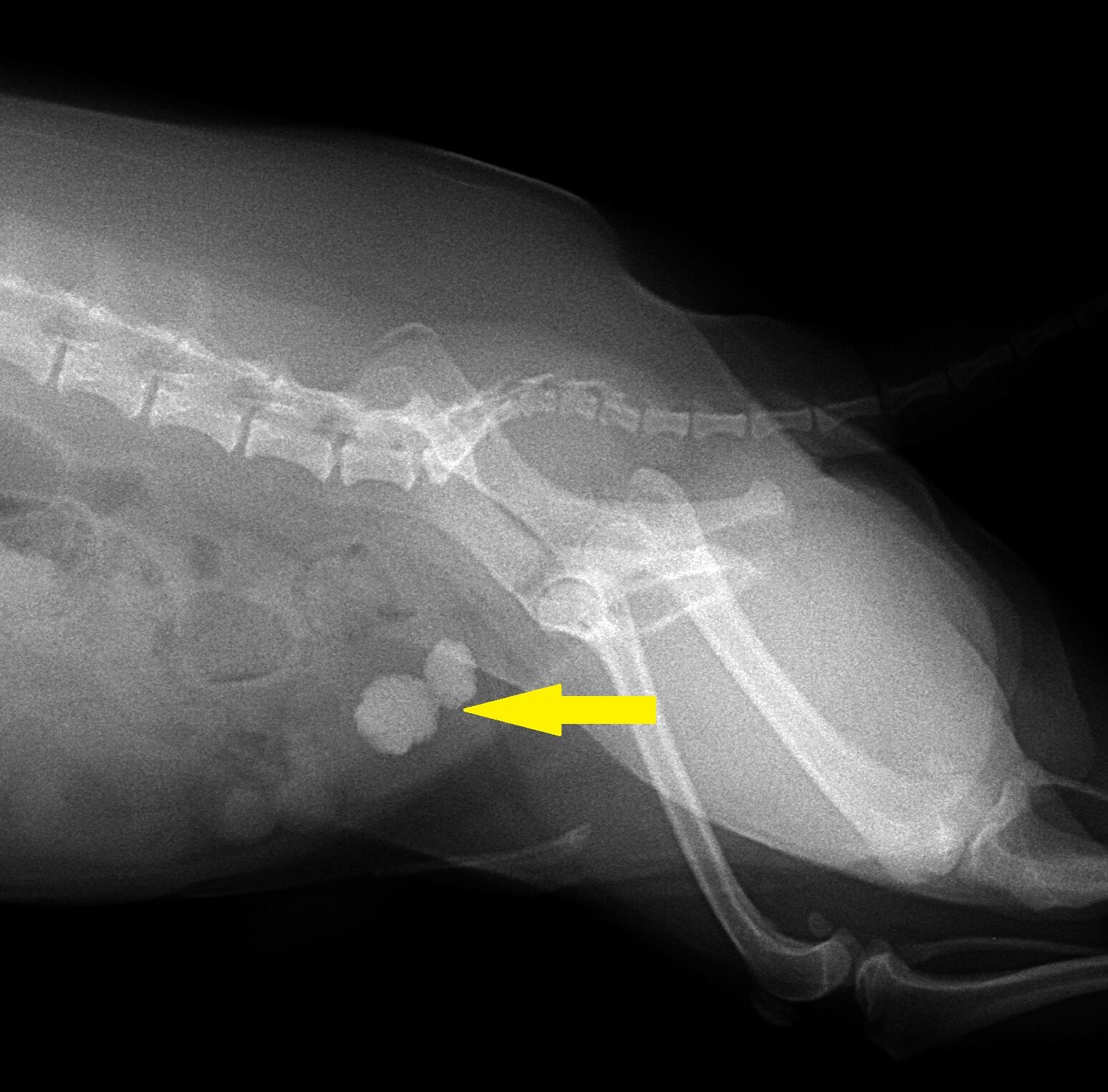
今回はワンちゃんの膀胱結石を取り除く手術について報告させて頂きます。8歳の男の子です。1年ほど前に血尿が出るということで来院されました。その時は尿中に結晶があり、それが原因で血尿が出ていました。その時点では膀胱結石は認められなかったので、内服と膀胱結石の予防用フードで完治しました。尿中の結晶は体質的に出ている可能性があったので、予防用フードを続けることを指示しておりました。しかしその後飼い主さんは来院されることはなく、次に来た時には尿が出にくくなった、とのことで約1年後に来院されました。レントゲンを撮ったところ、下のように膀胱結石が2個できていました。
矢印の丸い2つのものが膀胱結石です。これくらい大きくなってしまいますと手術で取り除いてしまうしかありません。手術して取り除いた結石が下の写真です。
1日間の入院と内服で完治しました。
結石予防用のフードを食べていても結石はできてしまうことはあるので、フードについて尋ねてみますと、結石予防用のフードは続けているとのことでしたが、よくよく聞いてみますと私が処方したフードとよく似ているのですが、異なるフードを食べさせていることが判明しました。その結果、膀胱結石ができ、手術しなければならなくなってしまいました。フードさえ間違いなく食べさせていたら、ワンちゃんも痛い目をしなくも済んだかもしれません。今はいいフードが多くあり、色々な病気を予防することが出来るようにはなったのですが、よく似たフードもありますので、くれぐれも注意してフードを与えて頂けたらと思います。
NEW
-
query_builder 2025/11/01
-
2025年秋 猫ちゃんの健康診断キャンペーンのお知らせ
query_builder 2025/09/26 -
診察時間変更のお知らせ
query_builder 2025/07/31 -
かゆみ、脱毛、黒ずみ…長年悩んだ皮膚病がかなり改善!
query_builder 2025/07/18 -
オンライン診療はじめました
query_builder 2024/10/29
CATEGORY
ARCHIVE
- 2025/111
- 2025/091
- 2025/072
- 2024/103
- 2024/061
- 2024/031
- 2024/021
- 2023/121
- 2023/091
- 2023/071
- 2023/051
- 2023/042
- 2022/121
- 2022/081
- 2022/071
- 2022/031
- 2022/022
- 2021/111
- 2021/081
- 2021/075
- 2019/121
- 2019/071
- 2018/061
- 2018/051
- 2018/011
- 2017/111
- 2017/101
- 2017/091
- 2017/021
- 2016/121
- 2016/071
- 2016/052
- 2016/031
- 2016/012
- 2015/121
- 2015/111
- 2015/102
- 2015/082
- 2015/072
- 2015/041
- 2014/101
- 2014/081
- 2014/055